MİNİK BEBEK, ANNESİNİN YÜZÜĞÜNÜ YUTTU

Sivas'ta annesinin 3 bin lira değerindeki tek taş yüzüğünü yutan 1.5 yaşındaki bebek, yüzüğü 6 gün sonra doğal yollarla çıkardı.

Sivas'ta annesinin 3 bin lira değerindeki tek taş yüzüğünü yutan 1.5 yaşındaki bebek, yüzüğü 6 gün sonra doğal yollarla çıkardı.

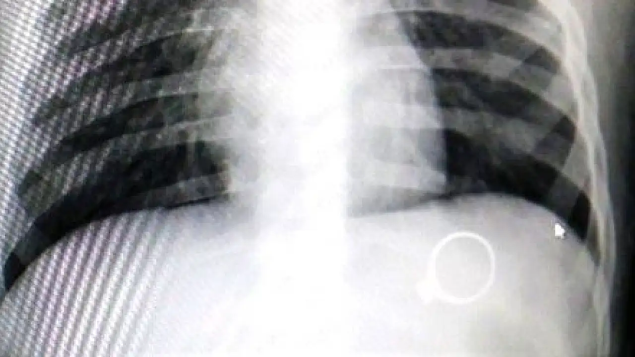
Sivas'ta kent merkezinde yaşayan F.G. ve C.G. çiftinin 1.5 yaşlarındaki M.G adındaki bebekleri oynamak için annesinden tek taş yüzüğünü istedi. Yüzükle oynayan M.G. annesine fark ettirmeden yüzüğü yuttu. Bir süre sonra çocuğunun yüzüğü yuttuğunu fark eden anne çocuğunu kucaklayarak Sivas Medicana Hastanesine götürdü. Burada Çocuk Cerrahisi Uzmanı Op.Dr. Mahmut Aluç tarafından muayene edildi. Yüzüğün, röntgeni çekilen M.G'nin midesinde olduğu görüldü. 6 gün sonra yüzük doğal yollarla çıktı. Çıkan yüzük aileye rahat bir nefes aldırdı.

RÖNTGENDE BELLİ OLDU

Çocuk Cerrahisi Uzmanı Op.Dr. Mahmut Aluç, çekilen röntgende yüzüğün midede olduğunu belirlediklerini ifade ederek, "Hastamız 1 buçuk yaşında. Bundan 6 gün önce bize yüzük yutma şikayeti ile başvurdu. İlk çektiğimiz grafide yüzüğün mide de olduğunu saptadık ve aileyi bilgilendirdikten sonra rutin prosedürlerinin gereği beklemeye başladık. 6 gün sonra spontane olarak yüzüğün kendisi çıktı. Bu tür hastalarla oldukça sık karşılaşıyoruz. Rutin olarak şöyle bir kural vardır, çocuk ağzına aldığı her şeyi yutabilir. Özellikle küçük çocuklar cisimleri tanımak için elleriyle dokunduktan sonra genellikle ağızlarına alırlar. Bu yutulan cisimler toplu iğne olabilir, çengelli iğne olabilir, para olabilir" dedi.

"ÇOCUKLAR ÇOK DAHA BÜYÜK ŞEYLERİ RAHATLIKLA YUTABİLİRLER"

Aluç, çocukların tahmin edilemeyecek kadar çok daha büyük şeyleri rahatlıkla yutabildiklerini söyleyerek, "Çocuklar tahmin edemeyeceğimizden çok daha büyük şeyleri rahatlıkla yutabilirler. Çocuk bir yabancı cisim yuttuktan sonra eğer yemek borusunda kalırsa ona erken müdahale yapılması gerekir. Eğer yemek borusundan midesine düşmüşse beklemek gerekiyor. Mide çıkışında normal fizyolojik bir darlığımız var. Orayı geçtikten sonra genellikle kendiliğinden düşer. Özel bir şey yapılmasına gerek yok. Yalnız eğer yutulan yabancı cisim özellikle küçük disk pillerde olduğu gibi kimyasal bir madde içeriyorsa uzun süre aynı yerde kaldığında orada reaksiyona neden olabileceği için daha hızlı düşmesini sağlamak lazım. O tür hastaları daha yakın takip etmek gerekir" şeklinde konuştu.

Hunat TV - Bizi Sosyal Medyada Takip Edin!

Bakmadan Geçme